Yazdır

Menenjit Kliniği ile Başvuran Bir Akut Dissemine Ensefalomiyelit (ADEM) Olgusu

Öznur AK*, Serdar ÖZER*, Mustafa DOĞAN*


* Dr. Lütfi Kırdar Kartal Eğitim ve Araştırma Hastanesi, İnfeksiyon Hastalıkları ve

Klinik Mikrobiyoloji Kliniği, İSTANBUL

ÖZET

Akut dissemine ensefalomiyelit (ADEM), demiyelinizan bir santral sinir sistemi hastalığı olmakla birlikte, ateş, baş ağrısı ve menenjizm kliniği ile akut menenjit ayırıcı tanısı içerisinde nadir de olsa yer alabilmektedir. Biz de bu yazıda menenjit kliniği ile başvuran bir ADEM olgusunu irdeledik.

Anahtar Kelimeler: Menenjit, Akut dissemine ensefalomiyelit, ADEM

SUMMARY

A Case Report of Acute Disseminated Encephalomyelitis (ADEM) that Presents with Signs of Meningitis

Acute disseminated encephalomyelitis (ADEM) being a demyelinating disorder of the central nervous system, may be considered in the differential diagnosis of acute meningitis because of presentation symptoms of fever, headache, and meningismus. We report an ADEM case who presented with meningitis symptoms.

Key Words: Meningitis, Acute disseminated encephalomyelitis, ADEM

Akut dissemine ensefalomiyelit (ADEM), santral sinir sisteminin beyaz cevherinin etkilendiği akut demiyelinizasyonla karakterize bir hastalıktır. Ateş, baş ağrısı, bulantı, kusma ve menenjizm bulguları ile akut menenjitle karışabilmektedir. Patogenezi tam olarak bilinmemekle birlikte, immünolojik mekanizmalarla oluştuğu ileri sürülmektedir. Bu immünolojik reaksiyonu, bazı olgularda infeksiyonlar ve aşılar başlatırken, bir kısmında ise etyolojik bir faktör bulunamamaktadır. Etyolojik faktörler Tablo 1'de görülmektedir[1,2].

Biz de bu yazıda kliniğimize akut menenjit ön tanısı ile yatırılan ve ADEM tanısı alan bir olguyu irdeledik.

OLGU SUNUMU

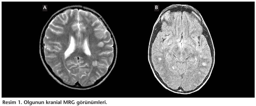
Onbeş yaşında erkek hasta, bir hafta önce ateş, baş ağrısı, bulantı ve kusma şikayetleriyle özel bir sağlık merkezine başvurmuş. Üst solunum yolu infeksiyonu (ÜSYİ) tanısı konularak amoksisilin-klavulanik asit ve parasetamol tablet verilmiş. İlaçları iki-üç gün düzenli kullanmasına rağmen şikayetlerinin geçmemesi ve baş ağrısının artması üzerine hastanemiz acil polikliniğine başvurdu. Ateş, baş ağrısı ve ense sertliği saptanması üzerine akut menenjit ön tanısı ile yatırıldı. Hastanın şuuru açık, koopere ve oryante idi. Oral ateşi 40°C, nabız sayısı 60/dakika, solunum hızı 20/dakika, kan basıncı 100/70 mmHg idi. Fizik muayenesinde bu bulgulara ilaveten ense sertliği (++) saptandı. Hastaya göz dibi muayenesi sonrası lomber ponksiyon yapıldı. Gelişindeki laboratuvar bulguları: Lökosit sayısı 17.500/mm3 (nötrofil: 14.000/mm3), hemoglobin 12.6 g/dL, hematokrit %37.6, trombosit sayısı 382.000/mm3 olup, tam idrar tetkikinde özellik yoktu. Akciğer grafisi normaldi. Beyin omurilik sıvısı (BOS) bulguları: Basınç artmış, görünüm berrak, 180 hücre/mm3 (%60 lenfosit), glikoz 59 mg/dL (kan glikozu: 109 mg/dL), protein 34 mg/dL olarak bulundu. Gram boyama incelemesinde lökositler görüldü, bakteri görülmedi. Kan biyokimyası normal bulundu. C-reaktif protein (CRP) 36 mg/dL, eritrosit sedimentasyon hızı (ESH) 65 mm/saatti. BOS ve kan kültürü steril kaldı. Yatışının üçüncü günü ateş ve ense sertliğinin devam etmesi üzerine lomber ponksiyon tekrarlandı. Basınç artmış, 184 hücre/mm3 (%90 lenfosit), glikoz 65 mg/dL (kan glikozu: 140 mg/dL), protein 134 mg/dL, BOS ve serumda Rose Bengal testi negatif bulundu, ARB görülmedi. Yatışının dördüncü günü her iki alt ekstremitede sağda 2/5, solda 1/5 düzeyinde motor ve duyu kaybı tespit edildi. Hasta idrar hissinin kaybolduğunu ifade etti. İntravenöz kontrast madde verilerek kranial manyetik rezonans görüntüleme (MRG) tetkiki yapıldı. Sol serebellar pedinkülde, pons süperior, sol paramedian kesiminde, bilateral serebellar beyaz cevherde, subkortikal alanda, bilateral sentrum ovalelerde, lateral ventriküller komşuluğunda, sağda korpus kallosum genusunda T2 ve Flair sekansında hiperintens, T1 ağırlıklı görüntülerde izo-hipointens, kontrast madde tutulumu göstermeyen çok sayıda lezyon saptandı. Bu bulgular ADEM ile uyumludur şeklinde rapor edildi (Resim 1). ADEM etyolojisi açısından aşılanma öyküsü saptanmadı. Mono test, herpes simpleks virüs tip 1-2 IgM (ELISA) ve Mycoplasma pneumoniae IgM (IFA) testleri negatif bulundu.

Hastaya 1 g/gün prednizolon başlanarak nöroloji kliniğine devredildi. Torako spinal MRG'de de ADEM ile uyumlu bulgular saptandı. Yaklaşık bir ay nöroloji kliniğinde izlenen hastanın motor ve duyu kaybı geriledi. Taburcu olduktan yaklaşık bir yıl sonra hastanın minimal idrar retansiyonu dışında problemi kalmadı, yeni bir atağı olmadı. Poliklinik takiplerine devam edilmektedir.

TARTIŞMA

ADEM santral sinir sisteminin beyaz cevherinin akut demiyelinizasyonla karakterize bir hastalığıdır. İlk kez 18. yüzyılın başlarında Lucas ve arkadaşları tarafından tanımlanmış olup, postinfeksiyöz veya monofazik demiyelinizan ensefalomiyelit olarak da adlandırılmaktadır[3]. Çocuklarda ve gençlerde daha sık görülmektedir. Cinse göre dağılımı eşittir. Etyolojide infeksiyonlar ve aşılar yer almakla birlikte, bazı olgularda spesifik bir etyolojik faktör bulunamamaktadır. İnfeksiyon sonrası genelde 7-10 gün (iki gün-dört hafta) içinde klinik ortaya çıkmaktadır. Olgumuzda olduğu gibi ateş, baş ağrısı, bulantı ve kusma gibi semptomlarla başlayıp, daha sonra ense sertliği, ataksi, hemiparezi ve kranial sinir tutulumu gibi nörolojik bulgular gelişebilir[1,4]. Hynson ve arkadaşları retrospektif olarak inceledikleri 2-16 yaş arası 31 ADEM olgusunda en sık ateş, baş ağrısı, bilinç düzey değişikliği, irritabilite, ataksi ve ense sertliği pozitifliği, Anlar ve arkadaşları da yedi merkezi içeren 46 çocuk olguda motor güçsüzlük ve bilinç değişikliği görüldüğünü bildirmişlerdir. Hynson ve arkadaşları olgularının %71'inde ÜSYİ ile bağlantı kurarken, olguların %23'ünde etyolojik bir faktör bulunamamıştır[5,6]. Bizim olgumuz da ilk başvurduğu sağlık kuruluşunda ÜSYİ tanısı almıştı. Etyolojide başka bir faktör bulunamadığından, kesin olmamakla beraber olgumuzda ÜSYİ'nin rolü olduğu düşünülebilir. ADEM olgularında ateş, baş ağrısı ve ense sertliğinin saptanması ilk planda menenjiti düşündürebilir. BOS incelendiğinde genelde lenfosit hakimiyetinde pleositoz normal veya hafif azalmış glikoz düzeyi ve proteinde artış saptanmaktadır[2]. Bizim olgumuzda da benzer BOS bulguları saptanmıştır. Hemiparezi veya paraparezi gibi nörolojik bulgular geliştiğinde ise görüntüleme tetkikleri ile, diğer nörolojik tablolardan ayırıcı tanının yapılması gereklidir. ADEM'li olgularda beyin tomografisinde minimal veya hiçbir bulgu saptanmazken, MRG bulguları tanı koydurucudur. MRG'de beyaz cevherde en sık talamus ve subtalamusta olmak üzere subkortikal beyaz cevherde T2 ağırlıklı sekanslarda hiperintens, T1 ağırlıklı sekanslarda izo-hipointens çok sayıda asimetrik lezyonlar saptanmaktadır. Lezyonların büyük oluşu, talamus ve subtalamusta daha fazla görülmesi, prodromal bir döneminin oluşu, ataklar halinde olmaması da multipl sklerozdan ayırt edilmesinde yardımcı olmakla beraber, bazı ADEM olguları ileri dönemde multipl skleroz tanısı almaktadır[1,5,7-9]. Schwarz ve arkadaşlarının incelediği 40 yetişkin ADEM olgusunun 14'ü ilerleyen takiplerinde multipl skleroz tanısı almıştır[10]. Bu olgularda genelde ikinci atak ilk altı ay içerisinde görülmekte iken, bizim olgumuz yaklaşık bir yılını tamamlamış olup, ikinci bir atağı gelişmemiştir. Tedavide 2 mg/kg/gün metilprednizolon veya eşdeğer kortikosteroidler doz azaltılarak dört-altı hafta kullanılır. Ayrıca, intravenöz immünglobulin ve plazmaferez de kullanılabilmektedir[1,2,10,11]. İnfeksiyonla bağlantılı olgularda ise etyolojiye yönelik tedavi yapılmalıdır[12]. Bizim olgumuzda kortikosteroid tedavi ile yanıt alınmış olup, takipleri devam etmektedir.

Sonuç olarak; ADEM nadir görülen bir hastalıktır. Bu olgular genellikle nöroloji kliniklerinde izlenmekle birlikte, motor ve duyu kaybının henüz oluşmadığı ateş, baş ağrısı ve menenjizm bulgularının ön planda olduğu dönemde akut menenjit ön tanısı ile infeksiyon hastalıkları kliniklerine yatırılabilmektedir. Bu yüzden bu klinik ve laboratuvar bulgularına sahip olguların ayırıcı tanısında ADEM'in de olabileceği akılda tutulmalıdır.

KAYNAKLAR

  1. Stanehouse M, Gupte G, Wassmer E, Whitehouse WP. Acute disseminated encephalomyelitis: Recognition in the hands of general pediatricians. Arch Dis Child 2003;88:122-4.
  2. Hung KL, Hung TL, Tsai ML. Postinfectious encephalomyelitis: Etiologic and diagnostic trends. J Child Neurology 2000;10:666-70.
  3. Murthy SN, Faden HS, Cohen ME, Bakshi R. Acute disseminated encephalomyelitis in children. Pediatrics 2002;110:21.
  4. Dale RC, de Sousa C, Chong WK, Cox TCS, Harding B, Neville BGR. Acute disseminated encephalomyelitis, multiphasic disseminated encephalomyelitis and multiple sclerosis in children. Brain 2000;123:2407-22.
  5. Hynson JL, Fracp MB, Kornberg AJ, et al. Clinical and neuroradiologic features of acute disseminated encephalomyelitis in children. Neurology 2001;56:1308-12.
  6. Anlar B, Başaran C, Kose G, et al. Acute disseminated encephalomyelitis in children: Outcome and prognosis. Neuropediatrics 2003;4:194-9.
  7. Inglese M, Salvi F, Iannucci G, Mancardi GL, Mascalchi M, Filippi M. Magnetization transfer and diffusion tensor MR imaging of acute disseminated encephalomyelitis. Am J Neuroradiology 2002;23:267-72.
  8. Kesselring J, Miller DH, Robb SA, et al. Acute disseminated encephalomyelitis. MRI findings and the distinction from multiple sclerosis. Brain 1990;113:291-302.
  9. Karahan Öİ, Çoşkun A, Soyak Ö, Arman F. MRG'de talamus ve bazal ganglion tutulumu gösteren akut dissemine ensefalomiyelitli iki olgu. Türk Tanısal ve Girişimsel Radyoloji Dergisi 2000;1:91-4.
  10. Schwarz S, Mohr A, Knauth M, Wildemann B, Hagenlocher BS. Acute disseminated encephalomyelitis. A follow study of 40 adult patients. Neurology 2001;56:1313-8.
  11. Jones CT. Childhood autoimmune neurologic diseases of the central nervous system. Neurol Clin 2003;21:745-64.
  12. Riedel K, Kempf VA, Bechtold A, Klimmer M. Acute disseminated encephalomyelitis due to Mycoplasma pneumoniae infection. Infection 2001;29:240-2.

Yazışma Adresi:

Dr. Öznur AK

Doğu Caddesi Kral Sitesi A Blok D: 12

Rahmanlar-İSTANBUL

e-mail: akoznur@yahoo.com

Makalenin Geliş Tarihi: 29.07.2004   Kabul Tarihi: 19.11.2004

Yazdır